티스토리 뷰
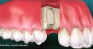
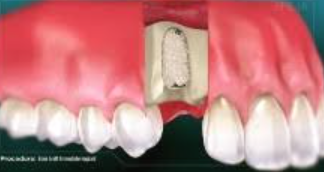
나이가 들어감에 따라 치아를 잃게 되는 경우가 많아집니다. 이때 가장 효과적인 치료법으로 여겨지는 것이 바로 임플란트입니다. 하지만 오랜 기간 치아가 없었거나 잇몸병으로 인해 잇몸뼈가 부족한 경우, 단순한 임플란트 식립만으로는 충분하지 않을 수 있습니다. 이런 상황에서 필요한 것이 바로 임플란트 뼈이식입니다.

뼈이식술은 부족한 잇몸뼈를 보강하여 임플란트가 안정적으로 고정될 수 있는 환경을 만들어주는 중요한 치료 과정입니다. 특히 50대 이상의 시니어층에게는 더욱 신중하게 접근해야 하는 치료법이기도 합니다.
뼈이식 종류별 특징 비교표
| 뼈이식 종류 | 재료 | 성공률 | 회복기간 | 비용 | 적합한 경우 |
| 자가골 이식 | 본인의 뼈 | 95% 이상 | 4-6개월 | 높음 | 대량 결손, 확실한 결과 필요시 |
| 동종골 이식 | 타인의 뼈 | 85-90% | 3-4개월 | 중간 | 중간 정도 결손 |
| 이종골 이식 | 동물뼈 | 80-85% | 3-4개월 | 중간 | 일반적인 결손 |
| 합성골 이식 | 인공재료 | 75-80% | 2-3개월 | 낮음 | 소량 결손, 경제적 부담 고려시 |



임플란트 뼈이식이 필요한 경우는 언제일까?
잇몸뼈 부족의 주요 원인
임플란트를 식립하기 위해서는 충분한 두께와 높이의 잇몸뼈가 필요합니다. 하지만 다음과 같은 경우 뼈이식이 반드시 필요할 수 있습니다.



오랜 기간 치아 상실로 인한 뼈 소실이 가장 흔한 원인입니다. 치아를 발치한 후 바로 임플란트를 하지 않고 오랜 시간이 지나면, 자연스럽게 잇몸뼈가 흡수되어 높이와 폭이 줄어들게 됩니다. 특히 어금니 부위는 씹는 힘이 강해 뼈 소실이 더욱 빠르게 진행됩니다.
잇몸병으로 인한 뼈 파괴도 중요한 원인 중 하나입니다. 치주염이 심해지면 치아 주변의 뼈가 녹아내려 임플란트 식립에 필요한 충분한 뼈가 남아있지 않게 됩니다. 이는 특히 당뇨병이나 고혈압 등의 전신질환을 가진 시니어층에서 더욱 빈번하게 발생합니다.
상악동의 해부학적 특성으로 인한 문제도 있습니다. 위쪽 어금니 부위는 코 옆의 빈 공간인 상악동과 인접해 있어, 이 부위에 임플란트를 할 때는 상악동거상술이라는 특별한 뼈이식이 필요한 경우가 많습니다.



뼈이식 필요성 판단 기준
임플란트 뼈이식의 필요성은 정밀한 검사를 통해 판단됩니다. CT 촬영을 통해 잇몸뼈의 높이가 10mm 이하이거나 폭이 6mm 이하인 경우 뼈이식을 고려해야 합니다. 또한 뼈의 밀도가 낮은 경우에도 임플란트의 안정성을 위해 뼈이식이 필요할 수 있습니다.



뼈이식 종류와 임플란트 적용 방법
자가골 이식의 장점과 고려사항
자가골 이식은 환자 본인의 뼈를 채취하여 사용하는 방법으로, 가장 높은 성공률을 보이는 뼈이식 방법입니다. 주로 턱뼈의 다른 부위나 장골(엉덩이뼈)에서 뼈를 채취하여 사용합니다.
자가골 이식의 가장 큰 장점은 생체적합성입니다. 본인의 뼈이므로 거부반응이 전혀 없고, 뼈의 재생 능력이 뛰어나 빠른 치유가 가능합니다. 특히 대량의 뼈 결손이 있는 경우나 다른 방법으로 실패한 경험이 있는 경우에는 자가골 이식이 가장 확실한 방법입니다.
하지만 수술 부위가 두 곳이 되어 환자의 부담이 커지고, 회복 기간이 상대적으로 길어질 수 있습니다. 또한 비용이 가장 높은 편이므로 경제적 부담을 고려해야 합니다.



이종골과 동종골 이식의 특징
이종골 이식은 소나 돼지 등의 동물뼈를 가공하여 사용하는 방법입니다. 현재 가장 널리 사용되는 방법 중 하나로, 안전성이 입증되어 있습니다. 동물의 단백질 성분을 완전히 제거하고 무기질 성분만 남겨두어 뼈의 골격 역할을 합니다.
동종골 이식은 다른 사람의 뼈를 철저한 감염 검사와 멸균 과정을 거쳐 사용하는 방법입니다. 자가골 다음으로 좋은 결과를 보이며, 추가적인 수술 부위가 없어 환자의 부담이 적습니다.
합성골 이식재의 활용
합성골 이식재는 인공적으로 만든 뼈 대체재로, 주로 칼슘과 인산염을 주성분으로 합니다. 가장 경제적인 방법이며, 감염의 위험이 전혀 없다는 장점이 있습니다.
최근에는 합성골 이식재의 기술이 크게 발전하여, 천연 뼈와 유사한 구조를 가진 제품들이 개발되고 있습니다. 소량의 뼈 결손이나 임플란트와 동시에 시행하는 경우에 좋은 결과를 보입니다.



임플란트 뼈이식 수술 과정과 치료 기간
수술 전 준비 과정
임플란트 뼈이식 수술 전에는 충분한 검사와 준비가 필요합니다. 먼저 파노라마 방사선 촬영과 CT 촬영을 통해 뼈의 상태를 정확히 파악합니다. 또한 전신 건강상태를 확인하기 위해 혈액 검사를 시행하며, 복용 중인 약물이 있는지 확인합니다.
특히 시니어층의 경우 고혈압, 당뇨병, 골다공증 등의 전신질환이 있을 수 있어 더욱 세심한 검사가 필요합니다. 혈압약이나 혈액순환개선제 등은 수술 전 일정 기간 중단해야 할 수도 있으므로, 의료진과 충분한 상담이 필요합니다.
수술 과정과 소요 시간
뼈이식 수술은 국소마취 하에 진행되며, 경우에 따라서는 수면마취를 시행하기도 합니다. 수술 시간은 이식 범위와 방법에 따라 1시간에서 3시간 정도 소요됩니다.
먼저 잇몸을 절개하여 뼈가 부족한 부위를 노출시킨 후, 준비된 이식재를 정확한 위치에 배치합니다. 이식재가 움직이지 않도록 특수한 막으로 덮고, 잇몸을 봉합하여 수술을 마무리합니다.
상악동거상술의 경우에는 코 옆의 상악동 내부로 이식재를 넣는 과정이 추가되어 좀 더 복잡한 과정을 거치게 됩니다.



치유 기간과 임플란트 식립 시기
뼈이식 후 완전한 치유까지는 보통 3개월에서 6개월의 시간이 필요합니다. 이 기간 동안 이식된 뼈가 기존의 뼈와 결합하여 하나가 되는 과정이 진행됩니다.
자가골 이식의 경우 4-6개월, 이종골이나 동종골 이식의 경우 3-4개월, 합성골 이식의 경우 2-3개월 정도의 치유 기간이 필요합니다. 이 기간이 지난 후 CT 촬영을 통해 뼈의 형성 상태를 확인하고, 충분히 치유되었다고 판단되면 임플란트를 식립합니다.



임플란트 뼈이식 비용과 경제적 고려사항
뼈이식 종류별 비용 분석
임플란트 뼈이식 비용은 사용되는 이식재의 종류와 수술의 복잡성에 따라 크게 달라집니다. 자가골 이식의 경우 뼈를 채취하는 추가 수술이 필요하여 150만원에서 300만원 사이의 비용이 소요되며, 이는 가장 높은 수준입니다. 반면 합성골 이식재를 사용하는 경우 50만원에서 120만원 정도로 상대적으로 경제적인 선택이 가능합니다.
이종골 이식과 동종골 이식의 경우 중간 수준의 비용으로 각각 80만원에서 180만원, 100만원에서 200만원 정도의 범위에서 형성됩니다. 상악동거상술과 같은 복잡한 뼈이식 수술의 경우에는 200만원에서 400만원까지 비용이 상승할 수 있습니다.
뼈이식 비용에는 수술비, 이식재 비용, 마취비, 약제비가 모두 포함되며, 수술 후 정기 검진비용도 별도로 고려해야 합니다. 특히 CT 촬영과 같은 진단비용도 치료 과정에서 여러 차례 필요할 수 있어 전체 치료비에 포함하여 계획하는 것이 중요합니다.



건강보험 적용과 본인부담금
현재 임플란트 뼈이식은 대부분 비급여 항목으로 분류되어 건강보험 적용을 받지 못합니다. 하지만 65세 이상 시니어의 경우 임플란트 자체에 대해서는 건강보험 혜택을 받을 수 있어, 뼈이식 후 식립하는 임플란트 비용은 상당 부분 절약할 수 있습니다.
건강보험이 적용되는 임플란트의 경우 개당 30만원에서 50만원 정도의 본인부담금으로 치료가 가능하며, 이는 일반적인 임플란트 비용의 30% 수준입니다. 따라서 뼈이식 비용은 전액 본인 부담이지만, 이후 임플란트 식립에서는 경제적 혜택을 받을 수 있다는 점을 고려하여 전체적인 치료 계획을 수립하는 것이 바람직합니다.
일부 지방자치단체에서는 시니어층을 대상으로 한 임플란트 지원 사업을 시행하고 있어, 거주지역의 보건소나 구청에 문의하면 추가적인 경제적 지원을 받을 수 있는 경우도 있습니다.



경제적 부담 완화 방안
임플란트 뼈이식의 경제적 부담을 완화하기 위한 다양한 방안이 있습니다. 먼저 여러 치과를 방문하여 정확한 진단과 치료 계획을 비교해보는 것이 중요합니다. 같은 치료라도 병원마다 비용 차이가 있을 수 있으며, 치료 방법에 대한 다양한 옵션을 제시받을 수 있습니다.
분할 납부 제도를 활용하는 것도 좋은 방법입니다. 대부분의 치과에서는 치료비를 여러 차례에 나누어 지불할 수 있는 시스템을 운영하고 있어, 한 번에 큰 금액을 부담하지 않고도 치료를 받을 수 있습니다. 특히 뼈이식과 임플란트 식립이 단계적으로 이루어지는 점을 활용하여 치료 진행에 맞춰 비용을 분담할 수 있습니다.
의료진과 충분한 상담을 통해 개인의 경제적 상황에 맞는 최적의 치료 방법을 선택하는 것도 중요합니다. 예를 들어 여러 개의 치아를 동시에 치료해야 하는 경우, 브릿지나 틀니와 같은 다른 치료 옵션과 비교하여 장기적으로 더 경제적인 방법을 선택할 수 있습니다.
뼈이식 후 주의사항과 성공적인 관리법
수술 직후 관리 방법
뼈이식 수술 후 첫 24-48시간이 가장 중요한 시기입니다. 수술 부위의 출혈을 멈추고 염증을 예방하기 위해 처방된 약물을 정확히 복용해야 합니다. 항생제는 감염 예방을 위해 반드시 처방된 기간 동안 완전히 복용해야 합니다.
냉찜질을 수술 당일과 다음날까지 시행하면 붓기와 통증을 줄일 수 있습니다. 15분 냉찜질, 15분 휴식하는 방식으로 반복하는 것이 효과적입니다. 3일째부터는 온찜질로 바꾸어 혈액순환을 도와줍니다.
수술 후 2-3일 동안은 부드러운 음식 위주로 섭취하고, 뜨겁거나 자극적인 음식은 피해야 합니다. 또한 수술 부위로는 씹지 않도록 주의하며, 빨대 사용이나 침을 뱉는 행동도 삼가야 합니다.
장기적인 관리와 정기 검진
뼈이식이 성공적으로 이루어지기 위해서는 장기적인 관리가 매우 중요합니다. 특히 흡연과 과도한 음주는 뼈의 치유를 방해하므로 반드시 금연, 금주해야 합니다.
구강 위생 관리도 핵심적인 요소입니다. 수술 부위는 처음 1-2주 동안 칫솔질을 피하고, 처방받은 가글액으로 조심스럽게 헹구어줍니다. 이후에는 부드러운 칫솔로 천천히 닦기 시작하며, 점차 정상적인 칫솔질을 회복해 나갑니다.
정기적인 내원도 필수입니다. 수술 후 1주, 2주, 1개월, 3개월마다 경과를 확인하고, 문제가 없는지 검사해야 합니다. 특히 당뇨병이나 골다공증이 있는 경우에는 더욱 자주 내원하여 면밀한 관찰이 필요합니다.
합병증 예방과 대처법
뼈이식 후 발생할 수 있는 합병증을 미리 알고 있으면 적절한 대처가 가능합니다. 가장 흔한 합병증은 감염입니다. 수술 부위가 지속적으로 아프거나 붓기가 심해지고, 발열이나 고름이 나오는 경우에는 즉시 병원에 연락해야 합니다.
이식재의 노출도 주의해야 할 합병증입니다. 잇몸이 제대로 아물지 않아 이식재가 입 안으로 노출되는 경우로, 즉시 치료하지 않으면 이식이 실패할 수 있습니다.
시니어층에서는 전신질환으로 인한 치유 지연이 발생할 수 있습니다. 평소보다 회복이 느리거나 이상 증상이 나타나면 주저하지 말고 의료진과 상담하는 것이 중요합니다.
임플란트 뼈이식은 부족한 잇몸뼈를 보강하여 성공적인 임플란트 치료를 가능하게 하는 중요한 시술입니다. 특히 시니어층에게는 더욱 신중한 접근과 세심한 관리가 필요하지만, 적절한 치료를 받는다면 자연치아와 같은 기능을 회복할 수 있습니다. 숙련된 의료진과 충분한 상담을 통해 자신에게 가장 적합한 치료 방법을 선택하고, 수술 후 관리 수칙을 철저히 지킨다면 성공적인 결과를 얻을 수 있을 것입니다.
